
近日,昆明市延安医院肿瘤科丁万宝专家团队成功为两名肺癌患者实施冷冻消融治疗,该技术的引入,标志着肿瘤科在肺癌精准治疗领域迈出重要一步。也为患者提供了更个性化、多维度的一站式治疗方案。

肺癌是全球发病率和死亡率最高的恶性肿瘤之一,传统治疗手段如手术、放化疗等虽有效,但对部分身体条件受限或肿瘤位置特殊的患者存在局限性。冷冻消融技术的引入,通过“超低温+免疫激活”双重机制,为这类患者开辟了全新治疗路径。
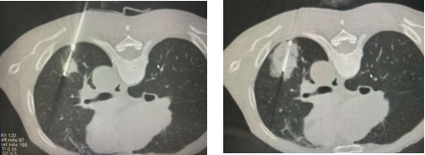
借助影像引导精准定位肿瘤,通过特制消融针将局部温度骤降至-140℃至-170℃,使肿瘤细胞迅速结晶坏死,并阻断周围血管营养供应;
随后温度快速回升至20-40℃,温差加重细胞损伤程度,达到治疗目的。
冷冻过程中,肿瘤细胞的死亡会释放出特定的信号分子,这些分子如同“警报”一般,激活机体免疫系统,形成对残留癌细胞的“长效监控”,降低复发风险。
肺癌冷冻消融治疗的核心在于其超低温精准打击能力。通过高精度的影像引导系统,医生能够准确锁定肿瘤位置,随后利用特制消融针将肿瘤组织迅速冷冻至极低温状态,这一温度几乎可以瞬间“冻结”肿瘤细胞,使其失去活性并逐步死亡。相比传统疗法,冷冻消融的精准度更高,能有效减少对健康组织的损伤,实现“点对点”的精准治疗。
昆明市延安医院肿瘤科是云南省抗癌协会肿瘤消融分会主委单位、云南省肿瘤消融治疗限制类技术培训基地,肿瘤科已熟练开展了肿瘤微波消融、射频消融等肿瘤局部微创治疗。深耕肿瘤微创领域多年,已形成“冷冻消融+微波消融+射频消融”三位一体的技术矩阵,三者优势互补,可针对肿瘤大小、位置及患者个体差异定制方案,真正实现“量体裁衣”式治疗。
冷冻消融不仅是技术的突破,更是治疗理念的升级。昆明市延安医院肿瘤科将继续推进“精准治疗+全程管理”模式,同步追踪国际前沿技术,推动多学科协作,致力于延长患者生存期并提升生活质量。

昆明市延安医院肿瘤科始终以患者需求为核心,未来将通过学术交流、技术培训等形式,助力区域肿瘤微创治疗水平提升,让更多患者受益于先进医疗技术。
信息来源:肿瘤科 郭欢
编辑:宣传科 和若珺



