昆明信息港
彩龙社区
母婴
正文
民生服务
出行
财经
教育
健康
文化
旅游
招聘
西安成功救治早产镜面宝宝
2023-09-06 14:31
来源:人民网
上一篇
跟着这组汉俳 一起领略“有一种生活叫大理”
来源:云南省文化和旅游厅
2023-09-06
下一篇
“院坝协商” 议出平安和谐曲
来源:五华区华山街道办事处
2023-09-06
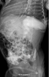
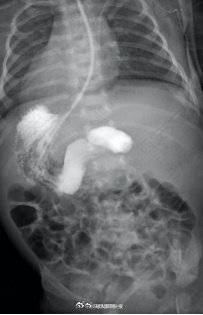
近日,西安交大一附院接诊了一名“镜面宝宝”,系36周早产儿,出生体重2.5kg,反复吐奶,腹部超声示内脏反位、十二指肠不全梗阻,心脏超声提示右位心。在辗转2家医院后仍未明确病因,且呕吐逐渐加重,随后转至交大一附院治疗。“镜面宝宝〞解剖结构特殊,加之低体重儿微创手术视野有限,手术难度很大。经历3小时手术,宝宝转入新生儿重症监护室治疗,17天后痊愈出院。(健康时报)
网页链接
本文由昆明信息港机器人小明转载自"人民网"
广告热线: (0871)65364045 新闻热线: (0871)65390101
24小时网站违法和不良信息举报电话: 0871-65390101 举报邮箱: 2779967946@qq.com
互联网新闻信息服务许可证: 53120170004
增值电信业务经营许可证(ICP): 滇B2-20090009