
消化系统癌症是发病率最高、患者人数最多的一类癌症。在中国恶性肿瘤发病率排名中,胃肠道恶性肿瘤占据”半壁江山“。如果患者在适当的时候接受胃肠镜筛查,就可以在疾病早期发现端倪,从而根除早期肿瘤。建议超过40岁的人进行胃肠镜筛查,45岁以上的人群则需要进行胃肠镜筛查。如有消化道肿瘤家族史,或者经常出现消化道不适、有消化道基础疾病、有不良饮食习惯的人群,则胃肠镜的筛查年龄应适当提前。自县人民医院消化内科常规开展胃镜检查以来在胃肠道早癌筛查、内镜下治疗方面积累宝贵经验。



直肠息肉样变(内镜下EMR术)

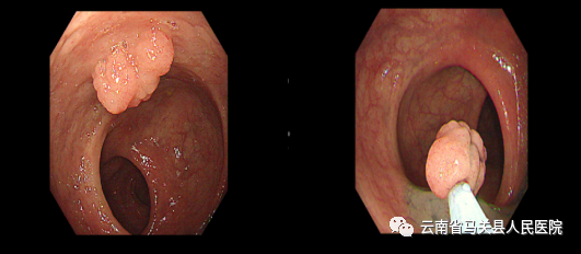
胃体、胃窦息肉样变

食管曲张重度并出血、十二指肠球部溃疡Forrest II-C

胃底印戒细胞癌、胃角腺癌

食管内骨性异物残留

消化内科基本情况
马关县人民医院消化内科是集消化道疾病诊疗、内镜检查、早癌筛查及内镜下治疗于一体的专业科室。胃肠镜室位于医技楼4楼,环境整洁舒适,功能布局合理,设有接待区、检查室、洗消室、复苏区、储镜室,是集电子胃镜、电子肠镜于一体的综合性胃肠镜室。胃肠镜室按照国家卫生部颁布的《内镜消毒规范》配备有完善的消毒设施,严格按照消毒程序进行胃(肠)镜消毒,镜前传染病三项检查率达100%,确保受检人群的安全。
拥有设备:日本奥林巴斯290型、150型胃肠镜主机各1台(胃镜3条、肠镜3条、水泵1台、气泵1台);爱尔博V10 200S高频电刀治疗仪一台;幽门螺旋杆菌检测仪1台(C14)。其中:EVIS 290系统是奥林巴斯顺应未来内科发展趋势研发的新一代多用途消化道内窥镜诊疗系统,采用了最新的光学数字技术,NBI(窄带成像)的观察距离更是上一代系统的两倍,使EVIS 290系统具有了更加锐利的“目光”,能够更加清晰、仔细地观察消化道内壁的微小组织和隐藏病变,帮助医生准确、迅速地发现病灶,给更多患者带来福音,开启了内科诊疗的新“镜”界。

消化内镜检查

科室、胃镜室环境

预约方式
一、消化内科门诊:门诊楼2楼(12号诊室)
二、消化内科住院部:住院楼3楼
胃肠镜预约时间:周一至周日(全天)
胃肠镜检查时间:周一至周五
上午:08:30-12:00
下午:14:30-17:30


胃肠镜室诊治范围

无痛胃肠镜检查


1.送至复苏室等待苏醒,在复苏室期间,仍应鼻导管吸氧、常规监测生命征(神志、心率、血压、呼吸、脉搏、氧饱和度等),保留静脉通路,以备紧急情况处理,待患者苏醒后可拔针。
2.患者离院标准:
(1)意识清醒无头晕;
(2)生命征平稳;
(3)无腹胀、腹痛,无心慌、出汗,无恶心、呕吐;
(4)无支撑可行走;
(5)有人陪同照顾。
3.患者离院后注意事项:
(1)至少24小时不开车、不骑车、不饮酒、不登高、不操作复杂机器及仪器,不参与重大决策;
(2)后2小时可进食少渣清淡饮食,逐渐加量、以不出现胃胀,不恶心呕吐为原则;
(3)术后2小时内有人陪护。


胃肠镜术前准备
一、进行测血压、血常规、血凝和心电图检查等。
二、患者无咳嗽咳痰、术前戒烟酒;高血压患者还应在手术前监测血压,须服用降压药者遵医嘱含服。
三、取下佩戴的首饰,更换清洁棉质衣服,摘除活动性义齿,保持稳定积极的情绪。
四、患者及家属签署手术同意书。
五、做好口腔护理,术前禁食12小时,禁饮4小时,减少胃液分泌。
六、结直肠息病变患者,术前做好肠道清洁准备是手术成功的关键;术前3天进食少渣、易消化饮食,多饮水,术前晚8点后禁食,术前9时及次晨口服泻药清洁肠道。


胃肠镜术后注意事项及复查
一、饮食以软食为好,禁用生硬、辛辣和粗糙等刺激性食物。
二、适当体育锻炼,增强体质,注意劳逸结合。
三、避免长途跋涉、过度劳累、剧烈活动和极速弯腰;多吃水果、多饮水、保持大便通畅,避免干结和增加腹压的因素。
四、患者若出现胸痛、腹痛、恶心、呕血或便血,应立即卧床休息,减少身体活动,保持安静,并立即到就近医院就诊。
五、术后随访:术后3、6和12个月行内镜检查,以后1年1次内镜检查,复查时携带原病例资料就诊。


THE END

