突发!金价爆了!
来源:掌上春城微信2025-09-22

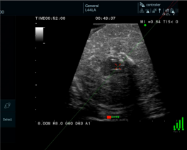
近日,云南省第一人民医院肝胆胰外科主任晋云带领团队成功实施了“磁导航技术引导下的腹腔镜肝脏肿瘤微波消融手术”。较目前常见术中导航系统而言,这一技术能更精准选择肿瘤穿刺位置,规划穿刺路径及评估路径安全,减少反复无效穿刺带来的肝损伤,更有效引导腹腔镜肝脏消融手术,确保了消融的成功率和安全性。

此次接受手术的患者患有肝脏肿瘤,传统消融方式如同“盲打”,需凭借医生经验反复穿刺调整,才能将消融针精确送达目标位置,不仅手术时间长、创伤大,也增加了并发症风险。而团队此次采用的 “磁导航腹腔镜微波消融”新技术,则完美解决了这一临床痛点。
晋云表示,该技术犹如为手术医生安装了“精准的GPS实时导航系统”。手术中,通过磁导航系统,虚拟的穿刺路径清晰明了,并且借助该技术,还能虚拟出能量释放点,精度达到毫米级。医生可藉此提前规划出更加适合患者的手术路径,操控消融针在导航系统的引导下,一次性精准抵达病灶核心,实现了“指哪打哪”的毫米级精准消融,彻底避免了传统方式的反复穿刺。


电磁导航毫米级靶向精准穿刺
手术过程非常顺利,术后患者恢复良好,肿瘤被完全灭活,术后3天就顺利出院,患者及家属对治疗效果表示非常满意。
提升手术效果、降低手术风险,是省一院肝胆胰外科团队不断前进的目标之一,此项新技术的成功开展,充分体现了肝胆胰外科团队勇于探索、紧贴学术前沿的技术敏锐度与积极执行力。科室将始终以解决临床难题为导向,积极将国际前沿技术转化为切实有效的治疗手段,为患者提供更好的医疗服务贡献力量。

供稿/供图:肝胆胰外科
排版:张萌
审核:晋云、左思云、张馨元

