
全国不超过二十例、云南省首例自由手舒适化局麻穿颧、穿鼻甲脊全口即刻负重种植手术近日在德韩口腔成功完成,这一在口腔种植领域被称为“珠穆朗玛峰”的手术填补了云南此类手术的空白,确立了德韩口腔的行业地位,更标志着更多因条件不佳、与种植牙失之交臂的疑难病例成为了过去,特别是半口、全口缺牙的患者,都能在德韩口腔轻松实现当天种牙当天有牙的愿望。
缺牙困局觅良医
阮先生今年54岁,受遗传因素影响加上长期抽烟喝酒,“牙不好”一直伴随着他。多年来,重度牙周炎导致他的全口牙缺失多年,长期使用活动义齿,后来因牙床重度吸收导致活动义齿无法紧密吸附,吃饭、说话都会掉出来,严重影响生活质量。辗转多家医院寻求种植牙治疗,却因为牙槽骨重度吸收失去了种牙条件无功而返。
ZAGA理念赋能 突破传统局限

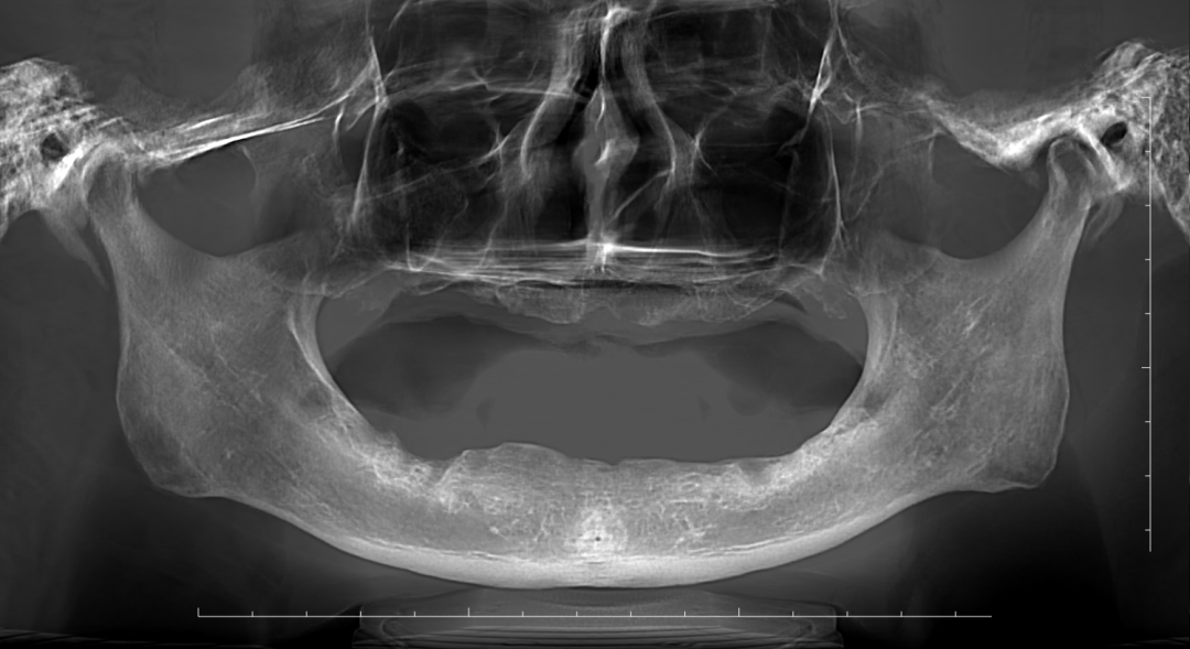
CBCT、口扫数据显示,由于长期缺牙,阮先生上颌牙槽骨几乎消失殆尽,后牙区右侧骨板几乎没有牙槽嵴,传统种植难以实施。车超院长对阮先生颌面部条件、口腔情况、身体条件进行全面的检查评估后,决定通过ZAGA理念、颧种植、鼻甲嵴种植植入4颗种植体,为阮先生实现即刻负重种植。

ZAGA技术是根据个人的颧骨结构定位植体植入位置,让种植体与颧骨紧密结合,为义齿提供强大且持久的支撑,稳定性远高于常规种植、能承受更大咀嚼力,患者术后咀嚼功能恢复良好;由于避免了取骨、植骨的复杂环节,大大缩短了治疗周期,可实现即刻负重,且降低感染等问题的发生概率,堪称上颌骨严重萎缩缺牙患者的完美解决方案。
多学科融合 实力护航

阮先生的治疗方案为“舒适化局麻+自由手上半口双穿颧/双鼻甲脊+下半口即刻负重”。手术由车超院长主刀、种植团队协助,麻醉科、修复科、检验科、护理部等多个科室密切配合,以保障手术的顺利开展。

舒适化保障开启轻松看牙时代

据了解,这台手术是在舒适化诊疗-无痛种牙技术保障为前提下开展的,整个手术过程阮先生全程清醒,且无痛感,而在术后,封闭镇痛让阮先生轻松度过了恢复期。
破技术壁垒 树行业标杆

手术成功开展,是德韩口腔多学科协作的成果、是技术上的突破。据查,此类高难度手术在全国不超过20例,在云南更属首例,这标志着德韩口腔“精准化、舒适化、个性化、便捷化”种植技术已形成全方位保障、立于同行之首,树立了行业标杆,且将来有更多的骨量严重萎、上颌骨缺损或极限骨质的缺牙患者,都可以在德韩口腔舒适化无痛麻醉、ZAGA技术的保障下恢复口腔健康,在无痛、轻松的治疗体验中实现长出“第三副牙”的愿望。


本内容为广告信息,不代表本号观点,也不作为协议要约。本号保留最终解释权,本号不承担法律风险。
编辑:谭晶晶
审核:曹旭东
