


近日,市人民医院肝胆胰外科二病区(血管外科、介入科)团队为一名68岁男性患者开展首例“腹主动脉瘤切除+人工血管置换术”治疗腹主动脉瘤。此次手术的开展标志着市人民医院在复杂血管疾病治疗方面取得重大进展。
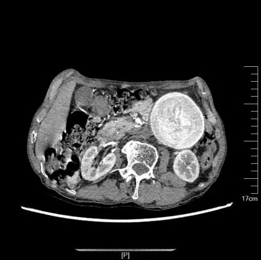
患者因出现左胸腹部疼痛至当地县医院就诊,提示腹主动脉瘤,后转至市人民医院就诊,急诊收住肝胆胰外科二病区(血管外科、介入科)。肝胆胰外科团队为其完善相关检查,其中胸腹部CTA检查提示:腹主动脉下段可见巨大瘤样扩张,直径约75mm,双侧髂总动脉管腔扩张。


腹主动脉瘤体巨大、瘤颈较短,手术难度大,在术前充分研讨、准备后,科室特邀专家工作站专家云南省第一人民医院血管外科龚昆梅主任现场指导手术。

手术采取“腹主动脉瘤切除+人工血管置换术”的方式,通过全麻下开腹暴露腹主动脉瘤,阻断病变段主动脉血流后切除瘤体,用人工血管与正常血管断端吻合,重建血流通道。
术后,患者在医护人员的精心治疗、护理下逐步拔除腹腔引流管,无发热、腹痛等症状,伤口恢复良好,顺利出院。

健康科普

什么是腹主动脉瘤?
腹主动脉瘤是指腹部主动脉的局部扩张,通俗来讲,就是肚子里有个椭圆形的不断扩张的血管包。腹主动脉瘤的形成往往是一个缓慢的过程,可能在几年甚至数十年内逐渐扩大。最令人担忧的是,一旦腹主动脉瘤破裂,可能会导致严重的内出血,甚至危及生命。

腹主动脉瘤的成因与发展过程
1.腹主动脉瘤的发生通常与以下几个因素密切相关:
动脉硬化:随着年龄的增长,血管壁逐渐变得硬化和脆弱,增加了动脉瘤发生的可能性。
高血压:长期的高血压会对血管造成压力,使其更容易发生膨胀和破裂。
遗传因素:家族中有腹主动脉瘤或心血管疾病史的人,罹患此病的风险更高。
吸烟:吸烟不仅会加速动脉硬化,还会影响血管的弹性,增加腹主动脉瘤的发病率。
男性和年龄:男性比女性更容易发生腹主动脉瘤,且年龄越大风险越高。
腹主动脉瘤的早期往往没有明显的症状,随着病情的进展,患者可能会感到腹部疼痛、背部不适或脉动感。当瘤体增大到一定程度,或出现破裂时,患者可能会经历剧烈的腹痛、晕厥、低血压等紧急症状。
手术方式
腹主动脉瘤的手术方式主要有两种:开放手术和血管腔内修复术。
●开放手术是传统的手术方式,医生会在腹部切开,直接修复或替换受损的动脉部分。这种手术虽然有效,但恢复时间较长,术后可能会有一些并发症。

(腹主动脉瘤开放手术)
●血管腔内修复术则是一种微创手术,医生通过血管导管将支架放置在动脉内,以修复瘤体。这种方式具有创伤小、恢复快的优点,但并不适合所有患者。

(腹主动脉瘤支架置入术)

团队介绍


肝胆胰外科二病区(血管外科、介入科)建有中山大学肿瘤防治中心高飞教授专家工作站及云南省第一人民医院龚昆梅教授专家工作站,是上海第九人民医院血管外科医疗联盟体,云南省门静脉高压联盟成员单位。科室在血管外科疾病的精准诊断与治疗、下肢静脉曲张的微创介入治疗、主动脉夹层的综合诊治、腹主动脉瘤的个体化治疗、糖尿病下肢动脉硬化治疗以及血液透析通路的科学建立与维护等多个领域,具有丰富临床经验并取得诸多卓越成果。科室联系电话:0879-2125785

编校:曾 峥 邱继才 查 明
一审:曾 峥 二审:尤华东 三审:肖曙峰
投稿邮箱:pesrmyyxjs@126.com
官网:http://www.pesrmyy.com/
往/期/回/顾
◆八旬腰突患者免手术!普洱市人民医院康复医学科个性化治疗助患者挺直腰板

点击链接 查看普洱市人民医院各科室联系电话



点它,关注我们!


