12年粉尘肺终获新生!保山医生从患者肺里洗出2000毫升“墨水”

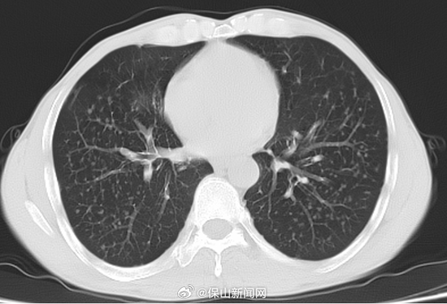
48 岁建筑工人李先生因长期接触水泥粉尘,咳嗽气喘一年多,双肺 CT 呈弥漫性黑影。3月11日,保山市人民医院呼吸科团队为他实施全肺灌洗术,3 小时洗出近2000毫升 黑色浑浊液体,内含碳末、金属颗粒等 “工业废料”。术后李先生呼吸顺畅、体力恢复,直呼 “重获新生”!医生提醒:早发现、早干预可有效进行治疗,粉尘作业需严格做好防护,出现持续咳嗽、活动气短等症状应及时就医。#职业健康防护#


保山新闻网


保山新闻网


保山新闻网

本文由昆明信息港机器人小明转载自"保山新闻网"
广告热线: (0871)65364045  新闻热线: (0871)65390101
24小时网站违法和不良信息举报电话: 0871-65390101  举报邮箱: 2779967946@qq.com