

近日,腾冲市中医医院心血管病科任龙成团队在昆明医科大学第一附属医院心脏内一科孙煌教授、李锐洁教授的指导下,联合医院医学影像科、超声医学科、麻醉科等多学科MDT专家团队,通过紧密协作,成功开展腾冲市中医医院首例经导管主动脉瓣置换术(TAVR),成功为一位73岁主动脉瓣重度狭窄患者完成介入换瓣,为该老年患者重开“心门”。

病例分享
患者因“反复胸痛1月、伴晕厥1次”入住腾冲市中医医院心血管病科,进一步完善心脏彩超检查。心脏彩超提示:1.主动脉重度狭窄伴轻度关闭不全,致左房内径增大、左室壁明显增厚;2.二尖瓣轻度关闭不全;3.三尖瓣轻度关闭不全。诊断为主动脉瓣重度狭窄并关闭不全,心功能Ⅱ-Ⅲ级。经请上级医院专家会诊讨论,患者年龄大,心功能较差,符合TAVR手术绝对适应症,可以进行经导管主动脉瓣置换术(TAVR)治疗。
术前评估
该患者为TYPE0型二叶瓣
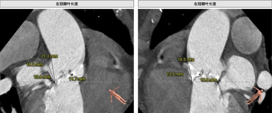
主动脉根部CT测量数据

冠脉风险评估-左右冠脉风险不高


心脏角度可,中度钙化


瓣上结构评估


血管入路评估-主动脉弓为锐角弓,股动脉穿刺点血管径线良好


术前,医院医务科、心血管病科、麻醉科、医学影像科、超声医学科等科室相关专家MDT团队与上级医院专家进行充分的术前讨论,拟定手术方案,明确人员分工,尽最大努力规避手术风险,力争多学科协作保证手术顺利进行。
手术策略及风险评估
1. TYPE0型二叶瓣,根据主动脉根部CT评估情况,决定预选22mm球囊预扩,植入VenusAL26瓣膜。
2. 左右股动脉入路条件良好,选取右侧股动脉为主入路,左侧股动脉为副入路进行穿刺。
3. 主动脉弓呈锐角、心脏角度54°,右侧股动脉入路输送系统过弓和过瓣同轴性可。
手术过程

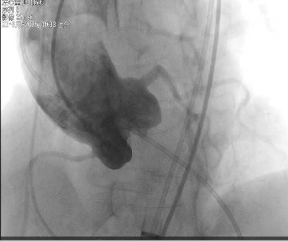
主动脉根部造影

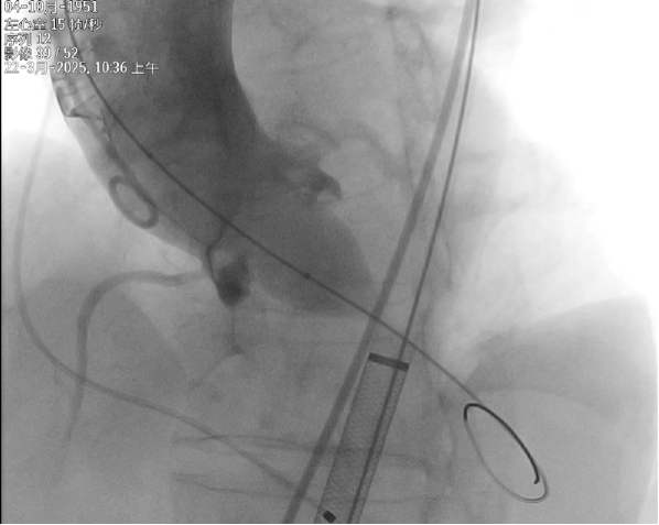
Magpie22球囊预扩

输送系统根部定位

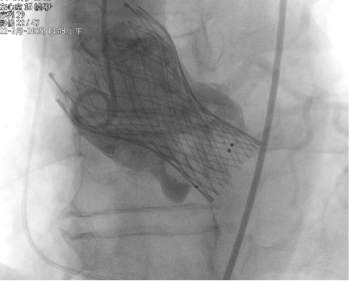
VenusAL26瓣膜释放至2/3


超声查看无瓣周漏
术后评估
术后经导管测压显示,跨瓣压差由术前的62mmHg降低为8.75mmHg,血流动力学极大改善,超声提示人工瓣膜工作状态良好、微量瓣周漏。
小结
在上级专家及医院MDT团队的全程指导下,术前多学科做好充分准备,术中手术团队严密谨慎,术后护理精心细致,目前患者已转普通病房,恢复良好。



经导管主动脉瓣置换术(TAVR)的成功开展,是省内三级医院与腾冲市中医医院的充分联动,是落实医改政策,促进优质医疗资源下沉,促进基层医疗卫生事业发展的一项重要措施,是助力百姓解决“好看病、看好病”问题的生动实践,也是推动医院学科发展的重要助力。下一步,心血管病科将继续坚持把人民群众生命安全和身体健康放在第一位,满足群众医疗卫生服务需求,全面加强人才培养和技术创新,努力改善医院诊疗环境,不断提高医疗综合服务能力,在续写高质量发展的新篇章上,精耕细耘腾医品牌,赓续传承腾医精神。
来源:腾冲市中医医院




