
近日,医院内分泌科 肺病科 脾胃病科在复旦大学附属华东医院夏世金博士后团队远程指导下,成功为一名92岁高龄患者开展了经电子支气管镜下肺泡灌洗诊疗术。

就诊前,患者出现持续高热,咳嗽、喘息,经皮血氧饱和度持续面罩吸氧下88%左右,积极完善相关检查,动脉血气分析提示II型呼吸衰竭。血常规提示细菌感染。脑钠肽升高。【胸部CT】提示:双侧胸腔积液,左舌叶及左下叶分支气管内痰栓形成。情况十分危急。夏世金博士后团队详细查看患者资料,分析病情后,建议先行支气管镜检查,明确肺部感染情况。

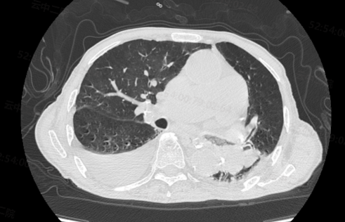
胸部CT:左主支气管痰栓形成

气管镜下见左主支气管痰栓堵塞管腔
考虑到患者超高龄,多个器官功能受损,且有“慢性阻塞性肺疾病、高血压”等病史,在向患者家属充分交代手术风险,并取得家属同意后,科室为患者在床旁行无痛电子支气管镜检查,镜下见左主支气管大量黄色脓性痰栓完全堵塞管腔,经充分吸引后见左固有上叶、左舌叶、左下叶基底段大量脓痰,遂给予支气管肺泡灌洗术,并在支气管镜下滴注吸入用化痰药后,患者左侧支气管脓性分泌物基本清除。
术后患者生命体征平稳,鼻导管2/min吸氧下经皮血氧饱和度上升至95%,结合后续敏感抗生素抗感染治疗,联合化痰治疗、中医中药特色治疗、呼吸康复指导等,患者体温恢复正常,自觉症状咳嗽、喘息症状较前明显好转,于一周后好转出院。

经电子支气管镜下肺泡灌洗诊疗术,即支气管肺泡灌洗术(Bronchoalveolar Lavage,BAL),是一种先进的肺部疾病诊疗方法。主要是利用电子支气管镜向支气管肺泡内注入生理盐水或其他药物,并随即吸出,以收集肺泡表面的有效液体,进而检查其细胞成分和可溶性物质,从而辅助医生进行疾病的诊断和治疗。由于老年患者身体虚弱,无自主排痰能力,那么经电子支气管镜下肺泡灌洗诊疗术,也成为老年肺部感染患的者福音。
一、什么情况下建议开展支气管肺泡灌洗术呢?
1. 肺部感染性疾病的病原学诊断。
2. 弥漫性肺病的诊断,如肺结节病、外源性过敏性肺泡炎、嗜酸粒细胞性肺炎等。
3. 肺泡蛋白沉积症的诊断与治疗。
4. 肺部肿瘤的诊断和细胞学检查。
5. 下呼吸道内生性异物的清除。
6. 非感染性肺部疾病(例如久咳不愈、支气管哮喘等)的诊断及治疗。
二、哪些人不适合该项检查呢:
1. 严重的心肺功能不全。
2. 有出血倾向的患者。
3. 严重的气道畸形。
经电子支气管镜下肺泡灌洗诊疗术是一种有效的肺部疾病诊疗方法,但需要在严格掌握适应症和禁忌证的前提下进行,并注意操作过程中的各种细节和可能的并发症。患者在接受手术前应充分了解手术风险和注意事项,并在术后做好恢复与护理工作。

医生简介


科室:内分泌科 肺病科 脾胃病科
姓名:李欢
职称:主治医师
职务:科室副主任
中国中医药信息学会西学中分会理事,云南省药学会呼吸病学专业委员会委员,云南省医学会神经病学分会第六、七届委员会感染性疾病与脑脊液细胞学组成员,云南省医院协会第二届呼吸内科专业委员会委员,云南省医学会呼吸病学分会第十届委员会烟草病学学组成员,云南省女医师协会呼吸病学分会委员。
擅长:从事普通内科工作10余年,至国家呼吸中心中日友好医院进行PCCM专修1年,对内科常见疾病的中西医结合诊治有丰富的临床经验,擅长呼吸内镜介入治疗、肺功能检查。
门诊时间:周四、周六上午
科室联系方式:0871-63302744
