




陈先生最近发现上门牙牙龈根处长了个肿块,右上门牙也有些变色,还伴有轻微松动,手压肿块时像按压乒乓球一样有弹性,于是他来到云南省中医医院/云南中医药大学第一附属医院口腔科检查。

治疗前照片

治疗前CBCT
经过口内检查和口腔颌面锥形束CT(CBCT)检查,医生发现陈先生的牙齿之前已经做过根管治疗,但围绕根管治疗后的牙齿根尖形成了一个囊肿,由于囊肿较大,旁边的牙齿也受到了影响。陈先生的牙根周围出现了“根尖囊肿”,“根尖囊肿”是什么,是什么原因引起的,对我们的牙齿有什么影响呢?

根尖囊肿是牙源性的颌骨囊肿,是一种慢性病变,多由于牙髓炎未经治疗或者治疗不彻底,迁延不愈后发展成慢性根尖周炎而形成根尖囊肿。由于牙齿根尖部的慢性炎症、肉芽组织的长期反复刺激,导致牙周膜内的上皮残余不断增生,增生的上皮团块中央发生变性与液化,周围组织不断渗出液体,逐渐形成囊肿,因其围绕在患牙牙根尖周围,故亦称为“根尖囊肿”。它生长较慢,一般无自觉症状,初期可观察到由于牙髓坏死引起的牙齿颜色变化,或可表现为反复出现、或伴有流脓的牙龈瘘管,较多患者往往等囊肿生长到较大才发现,此时根尖部的牙龈黏膜呈半球形隆起,手压时像有乒乓球感,有弹性,压迫邻近牙时,可引起邻牙松动或移位。

根尖囊肿应该怎样治疗呢?
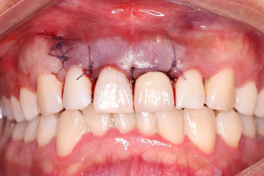
根尖囊肿的治疗视囊肿的大小及累及范围而定,如果囊肿较小,多采用保守治疗,通过常规根管治疗消除感染源,部分囊肿经过完善的根管治疗后即可自行痊愈。如果囊肿较大,已侵犯多颗邻牙,或经过根管治疗,定期复查后发现囊肿仍未消失或没有缩小的迹象,则需通过外科手术处理。手术过程中,医生会将囊肿区域的牙龈翻开,暴露囊肿,将其完全摘除,并切除根尖部分牙根,使用生物陶瓷材料回填,封闭根尖,植入骨粉,覆盖骨膜,随着时间的推移,新生骨质会逐渐长入囊肿所在部位,使病变愈合。病灶牙和被囊肿累及而无法保留的牙齿,也可在手术同期一并拔除。

术后即刻照片

术后3个月复查

术后3个月CBCT图像
助手:马琬婷 住院医师
摄像:李荷诗 技师
巡回护士:邱素 主管护师
我院口腔科长期开展微创拔牙,颌面外科门诊手术,种植修复等治疗,如果您也有类似的困扰,欢迎前来我院就诊,我们将还您一口健康美观的牙齿!
光华院区:光华街120号门诊4楼口腔科, 0871—63626881、63610926
滇池院区:华晨路1号,0871—63635492

口腔科医生简介

张莉萍,口腔科副主任,硕士研究生,主治医师
2013年毕业于昆明医科大学口腔临床专业,主修口腔颌面外科,医院“卓越青年人才计划”培养对象。2013年在云南省中医医院工作至今,擅长微创拔牙,颌面外科门诊手术,种植修复,微创嵌体修复,显微根管治疗等口腔综合诊疗。2023年取得口腔美容主诊医师资格。现任中华口腔医学会会员,云南省种植专业委员会委员,云南省全科口腔医学会委员,云南省口腔医学美学与激光专委会委员。

马琬婷,硕士研究生,住院医师
2023年中山大学硕士研究生毕业,主修口腔内科学,曾发表SCI两篇,擅长诊治龋病、牙髓炎、根尖周炎等牙体牙髓常见疾病,擅长诊治牙龈出血、退缩、肿痛、牙松动等牙周炎症状,擅长显微根管治疗,龈下刮治及根面平整术、松牙固定术等牙周基础治疗,熟悉并掌握口腔常见黏膜病的诊断及治疗。

李荷诗,技师/口腔助理医师
2019年在云南省中医医院口腔科工作至今,擅长儿童及成人龋病,牙髓病,根尖周病等口腔临床常见牙体牙髓疾病的综合诊断和治疗。擅长树脂美容修复,牙齿美白,根管治疗,复杂牙拔除术,嵌体修复,固定、活动义齿设计修复等口腔综合诊疗。

邱素,主管护师
从事临床护理工作15年,口腔护理3年。具有丰富的专科理论知识,娴熟的操作技能和较强的工作及管理能力,曾发表多篇省级、国家级论文。云南省口腔医学会口腔护理专业委员会委员。
文/口腔科 马琬婷

