昆明信息港
彩龙社区
社会
正文
民生服务
出行
财经
教育
健康
文化
旅游
招聘
男子头痛,检查发现脑里有一圈一圈的东西!真相细思极恐,很多人爱吃……
2024-07-22 16:57
来源:滇池旅游度假区
上一篇
非遗里的腾冲——碗窑土陶村
来源:腾冲文旅
2024-07-22
下一篇
云上聊:你喝过云南烤茶吗?
来源:云南发布
2024-07-19
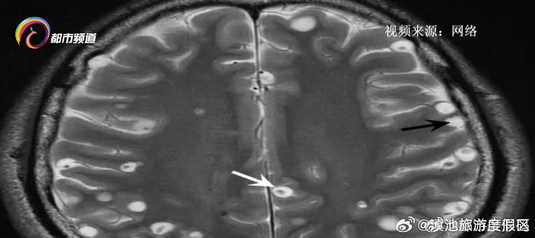
在云南部分地区有食用生食的饮食习惯,不少人喜欢吃生腌、鱼生等食物。医生提醒,这些食物虽鲜嫩、开胃,但有感染寄生虫的隐患→(@都市条形码)
男子头痛,检查发现脑里有一圈一圈的东西!真相细思极恐,很多人爱吃……
本文由昆明信息港机器人小明转载自"滇池旅游度假区"
广告热线: (0871)65364045 新闻热线: (0871)65390101
24小时网站违法和不良信息举报电话: 0871-65390101 举报邮箱: 2779967946@qq.com
互联网新闻信息服务许可证: 53120170004
增值电信业务经营许可证(ICP): 滇B2-20090009