
点击蓝字 关注我们
建设国家区域医疗中心是党中央、国务院为推动优质医疗资源扩容下沉和区域均衡布局作出的重大部署,是着力解决患者异地就医、看病难问题的重要举措。
我院创伤中心作为“新一批”建立的医疗创伤中心,目前已在诊疗水平、服务患者就医等方面取得了阶段性成效。

近期,我院创伤中心收治了两位危重患者,一位颅内动脉瘤破裂伴蛛网膜下腔出血的患者和一位面颅骨多发骨折的患者。

颅内动脉瘤破裂伴蛛网膜下腔出血的患者,入院时患者头痛,血压升高,查体见颈抵抗。颅脑CT显示:双侧外侧裂池、蛛网膜下腔出血,前交通支及右侧大脑中动脉走行区稍高密度影,建议CTA检查。经创伤中心医师评估,考虑颅内动脉瘤破裂可能。立即联系影像科进行急诊头颈动脉CTA检查,最终患者确诊为:右侧颈内动脉S4段小动脉瘤。
颅内动脉瘤破裂出血一旦再次发生出血,死亡率可高达60.2%-73.3%。在昆明医科大学第二附属医院赵宁辉教授专家团队指导下,给予降压、补液、预防脑血管痉挛等治疗,当天急诊,创伤中心立即为患者急诊行经导管颅内动脉瘤栓塞术。术后转入ICU,在ICU及创伤中心严密监护治疗下,目前患者恢复良好,无神经功能遗留障碍,病情恢复良好。

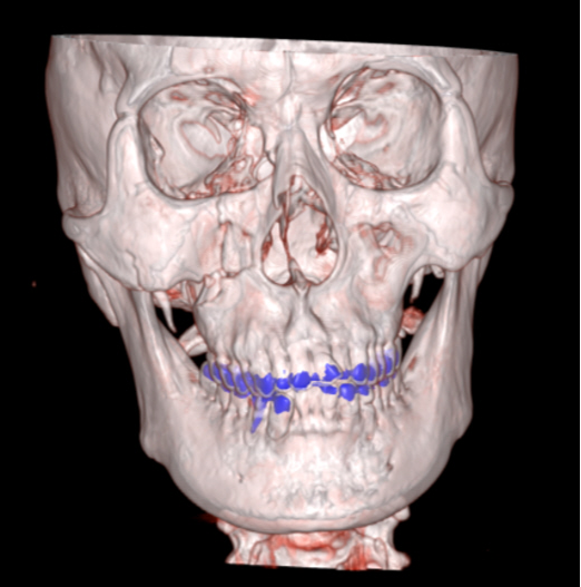
面颅骨多发骨折患者入院时颌面部疼痛,并诉右侧鼻腔通气受限。通过CT检查显示:患者右侧上颌窦、右上颌骨额突骨折,右侧上颌窦积液;患者右侧眼眶多发骨折,累及右侧鼻泪管;患者右侧颧弓骨折。经创伤中心医师评估后,考虑为患者开展手术治疗,在昆明医科大学第二附属医院整形外科朱礼昆教授指导下,为患者实施了眶骨+鼻骨切开复位内固定术,术中见鼻骨及眶骨塌陷,鼻骨局部内陷。经手术复位固定,填塞鼻腔,术后第3天取出鼻腔填塞物,请耳鼻喉科会诊协助鼻腔冲洗,患者诉右侧鼻腔通气好转,患者无神经功能遗留障碍,面部创口小,未见疤痕增生,病情恢复良好。
本次颌面手术固定材料均选用可吸收材料,对比常规使用钛板,具有可吸收,无需二次手术的优点,减少对面部的损伤及降低二次手术疤痕增生的风险。

目前,我院创伤中心在昆明医科大学第二附属医院赵宁辉专家团队,朱礼昆教授指导及各相关科室配合下已顺利开展神经介入治疗、自发性脑出血的微创治疗及颌面部骨折等手术,未来将逐步开展神经内镜治疗脑出血及颅内常见肿瘤的手术治疗。我院创伤中心成立后,接诊全身多发伤的患者和其他危重患者日益增多,部分患者合并颌面骨折及外伤,对于颌面骨折或外伤,既要保证功能的恢复,也要保证面部美容需求。这两项手术的顺利开展,标志着我院接诊多发伤患者和救治危急重症患者能力的逐步提升,能更好的为广大市民提供优质、高效的诊疗服务,成为市民家门口的“医”靠。