太全了,收藏备用!ETC办理使用方法大集合
来源:云南高速通2023-09-01




近日,在中央医疗人才“组团式”帮扶医疗队专家、骨科主任彭发智带领科室团队的通力协作下,一位91岁的侬奶奶股骨二次骨折在骨科仅治疗一周后顺利出院,出院时奶奶疼痛明显好转,身体状况明显改善。


7月中旬侬奶奶不慎跌倒致左大腿肿痛、畸形、活动严重受限,一直在家卧床休息,但疼痛越来越严重,无法忍受,严重影响饮食睡眠,身体情况越来越糟糕。奶奶年龄较大,加之是二次骨折,家属非常担忧,多方寻求最佳治疗方法,在得知我院有中央“组团式”医疗帮扶专家,于7月29日护送老人至骨科就诊。








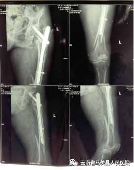
主管医生详细询问病史、认真体检,获悉侬奶奶1年前因左股骨转子间骨折,曾行“左股骨骨折髓内钉内固定术”,因侬奶奶身体一直欠佳,且年事已高,家人担心身体无法耐受手术治疗,故一直未进行内固定物取出,髓内钉一直留存体内。主管医生与家属做了详细沟通,认为目前手术是改善老人病情的最佳办法,如果不及时治疗,长期卧床容易发生褥疮、肺部感染、深静脉血栓等并发症,且断骨可能无法愈合。





术前检查照片

















术后检查照片


