
多学科(MDT)诊疗模式在昆明医科大学附属延安医院/昆明市延安医院已经实施多年,已然融入医院的医疗体系。在综合医院具有多个学科的优势下,延医40个临床医技科室之间形成通畅的院内多学科合作方式,由原来单个医生向患者提供单向服务,转变为以患者为中心的多学科合作救治,MDT中的多个科室、多个成员密切联合,挽救了很多急危重症患者生命!
近期,昆明医科大学附属延安医院/昆明市延安医院紧急收治了70岁的患者李阿姨。
李阿姨已在52岁自然绝经,从今年4月以来,出现了2次无明显诱因的少许暗红色阴道出血,每次都是出血1-2天后自行停止,量也不多,每天在1-2片卫生护垫,也只浸湿到三分之一,没有腹痛、腹胀等情况,李阿姨也没有重视。
7月20日,突然出现大量阴道流血,当天出血浸湿内裤4条,使用卫生巾15片,有明显的血凝块,还伴发头晕、乏力的症状,家人马上把李阿姨送到昆明市延安医院急诊科就诊,很快就由妇科收治入院。
经妇科完善相关检查,妇科B超检查提示宫颈区不均质低回声(宫颈Ca可能),宫颈活检的病检报告为鳞状细胞癌,再综合影像学检查,李阿姨目前的疾病诊断为宫颈癌IIB期,按照医疗指南,已经失去了手术机会,需要放化疗,但是,首先得解决“阴道大出血”问题。
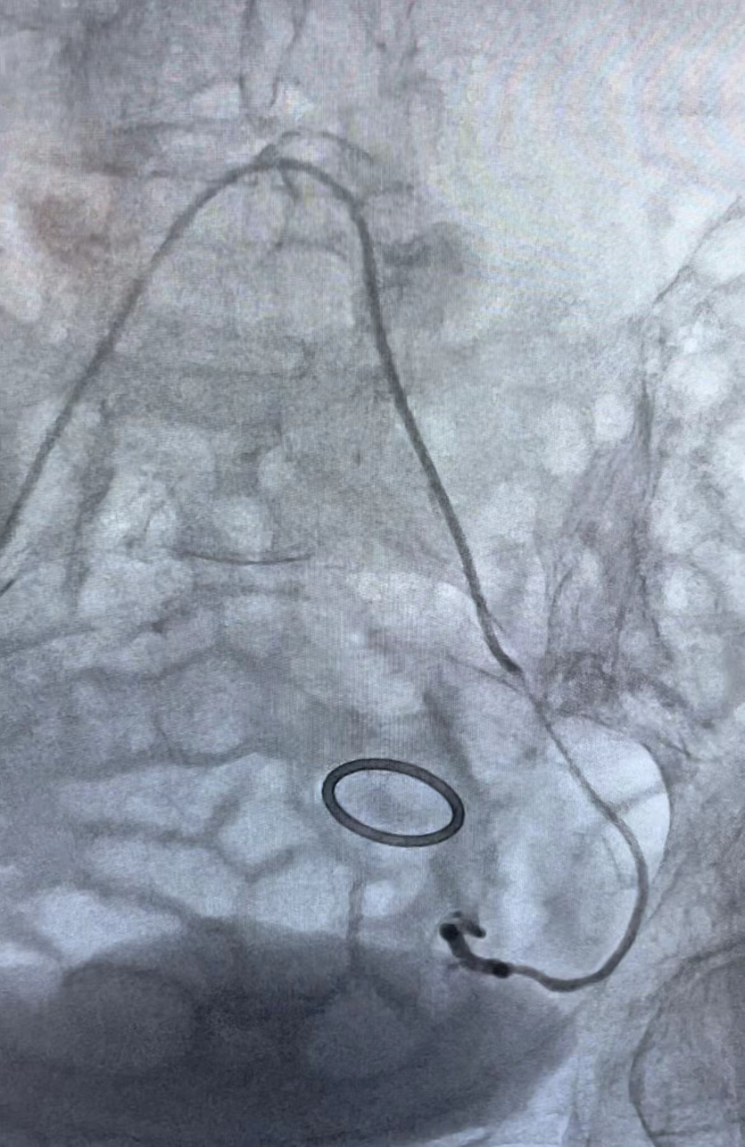
通过阴道填塞止血、药物止血,出血的问题解决得都不理想,肿瘤科马上参与到救治中来,肿瘤科鲍新医生会诊后评估,认为患者阴道流血时间长,同时,短期出血量进行性的增多引起了贫血并加重,考虑宫颈癌合并活动性出血,有大出血危及生命风险,有血管介入治疗止血指征,李岩与鲍新两位医生立即给患者施行了左右子宫动脉灌注化疗栓塞术,历时1小时,手术顺利完成。手术后,患者阴道流血明显减少,头晕和乏力的症状也明显缓解,可以安排后续的放化治疗方案。
栓塞前和栓塞后造影对比


据昆明医科大学附属延安医院/昆明市延安医院肿瘤科鲍新医生介绍,宫颈癌是常见妇科恶性肿瘤之一,出血是宫颈癌最典型的症状,宫颈癌大出血的病情在临床上时有发生。
HPV感染是宫颈癌最危险因素,另外初潮过早,多孕多产,早年分娩,卫生习惯不良,性生活不洁等原因也可以诱发宫颈癌。
宫颈癌的治疗包括根治性手术和放化疗,放化疗疗效的确切性、安全性已经得到广泛认可。随着微创血管介入治疗技术快速发展,经动脉化疗和动脉栓塞作为综合治疗宫颈癌手段之一,越来越被广大学者所认同,被临床指南推荐。尤其是中晚期宫颈癌和合并急性出血者。当中晚期宫颈癌患者,治疗或因病情进展中,出现急性子宫大出血时,行肿瘤供血动脉的介入栓塞术,可以迅速有效止血,避免了因高龄、慢性疾病、心肺功能不全等原因无法行全麻下外科手术,而保守治疗大出血无效时,只能眼睁睁看着亲人被恶性肿瘤大出血夺走鲜活的生命,让家属痛心遗憾。
血管介入除了有迅速止血的疗效,还可以经动脉灌注化疗药物对肿瘤进行治疗。宫颈癌血管介入动脉灌注治疗时,超选择双侧子宫动脉灌注化疗栓塞术最为理想,在可能的情况下应用微导管技术,实施子宫动脉宫颈支灌注化疗栓塞术效果更佳。血管介入治疗技术在子宫动脉局部使用低剂量高浓度化疗药物,使肿瘤组织内处于高浓度抗癌药物作用,使药物作用时间延长,增强对肿瘤细胞的杀伤作用,进而减少肿瘤转移和播散风险。肿瘤供血动脉灌注化疗及栓塞的机制还包括:灌注化疗及栓塞增强了肿瘤细胞膜的通透性、使抗癌药物易于进入到细胞内,从而提高了药物的作用。动脉给药定位准确,药物直接作用于瘤体,减少循环至全身组织的含量,从而降低了全身不良反应的发生。
昆明医科大学附属延安医院/昆明市延安医院妇科和肿瘤科已经形成相辅相成的宫颈癌诊治联合,科室之间无缝链接,免去患者在多个科室间的奔波辗转,减轻患者和家属的心理负担!
信息来源:肿瘤科
编辑:宣传科 和若珺



