昆明信息港
彩龙社区
健康
正文
民生服务
出行
财经
教育
健康
文化
旅游
招聘
8斤重!她体内长出巨型肿瘤!有这些症状,必须警惕
2023-06-13 13:10
来源:掌上春城微信
上一篇
国寿寿险:为客户打造全流程线上化保单服务,线上保全自助化率达92.79%
2022年,中国人寿寿险公司规模价值领跑行业,总市值稳居全球保险公司前列,ESG实践受到社会广泛认可,被国际权威评级机构MSCI ESG评为BBB级,处于国内寿险行业领先梯队,走出了一条具有中国特色、接轨国际准则的“国寿ESG之路”。
来源:资讯频道
2023-06-13
下一篇
大兴调研之风 服务企业发展——度假区税务局深入省融资担保公司调研
来源:滇池旅游度假区
2023-06-13
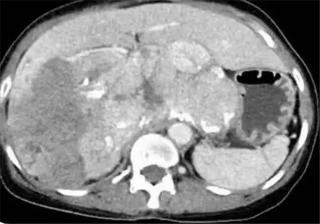
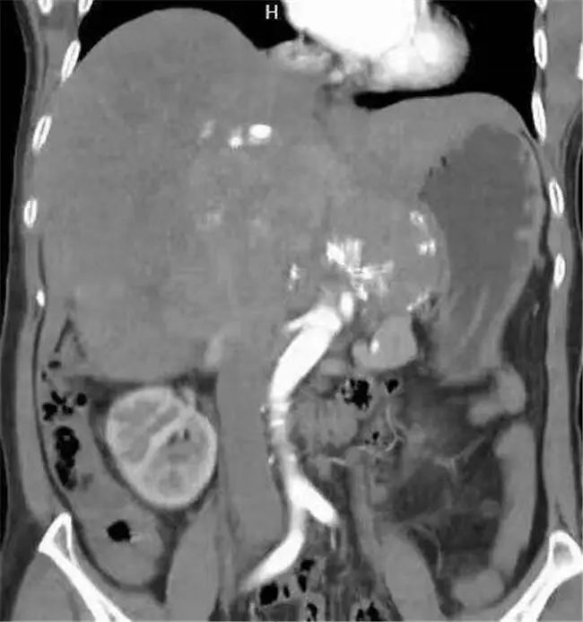
近日,云南省第三人民医院肝胆胰外科成功为一名患者实施了涉多处重要血管及四个肝门的重达4千克的巨大肿瘤切除手术。目前,患者恢复良好。
57岁患者吴某于
今年初感觉体力不断下降,白天易疲劳,提不起精神,胃口也不好,体型日渐消瘦,不久出现右上腹隐约疼痛症状。
家人送医后CT检查显示:中、上腹巨大不均质肿物,填塞肝门,贴压胆囊、胰腺、右肾、门静脉、下腔静脉,考虑恶性。病人和家属立刻感到紧张和无助,虽在各大医院辗转求诊,均表示治疗意义不大。但病人和家属均不想放弃,怀着最后一丝希望,来到云南省第三人民医院肝胆胰外科就诊。
患者入院后,经过仔细检查后发现这名患者中上腹巨大不均质肿物已经填塞肝门,与肝实质分界不清,贴压胆囊、胰腺、右肾、门静脉、下腔静脉,手术操作的空间非常小。其次,患者身体基础条件十分不好,长期高血压,心肺功能极差,肝功能下降,手术难度极大。
云南省第三人民医院肝胆胰外科主任江行带领专家团队对患者的病情进行了详细的评估和分析,并与患者家属进行了耐心细致的沟通和解释。取得患者同意和支持后,以江行、李胜宏和薛致骞教授为主的专家手术团队,决定为患者实施“涉多处重要血管及四个肝门的肝巨大肿瘤切除(右半肝联同全尾叶)”手术。
6月5日8时,手术正式开始。江行带领专家手术组历时6个小时,实施了切除、重建、修补过程,最终,顺利完成巨大肿瘤切除+右半肝、全尾状叶切除术+胆囊切除术,成功从患者体内取出长约27厘米,重达4.21千克的肿瘤。
术后,因患者身体基础条件较差,营养严重不良。肝胆胰外科医护团队针对患者病情和术后状况,进行补充营养和保肝、护肝等后续治疗,患者病情逐步稳定,神志、血压、心率、呼吸渐趋正常,健康状况逐渐好转。
昆明日报全媒体记者:黄河清
编辑:毕群
编审:吴晨萍
终审:周健军
觉得不错,点个
和
转发起来!
本文由昆明信息港机器人小明转载自"掌上春城微信"
广告热线: (0871)65364045 新闻热线: (0871)65390101
24小时网站违法和不良信息举报电话: 0871-65390101 举报邮箱: 2779967946@qq.com
互联网新闻信息服务许可证: 53120170004
增值电信业务经营许可证(ICP): 滇B2-20090009