2023年文山州人事考试院紧缺岗位招聘通告
2023-03-13


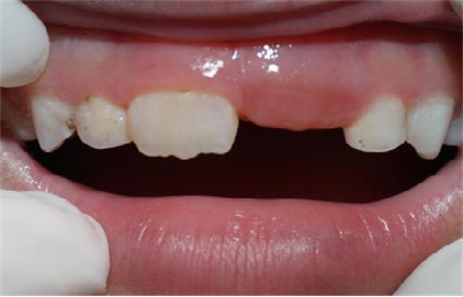
为什么会出现这种情况?
#
恒牙迟萌原因多种多样:

恒牙胚坏死、缺失或者错位。
多生牙、牙瘤或囊肿的阻碍。
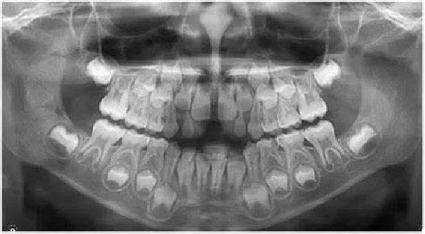
怀疑是恒牙迟萌,该怎么办?



基金会介绍:中国牙病防治基金会是中国口腔医学领域唯一经国家民政部批准设立,国家卫生健康委员会业务主管的国家级公募基金会。以打造口腔健康公益平台为目标,面向基层、面向大众,重点开展公益慈善、健康科普和能力提升业务,致力于推动我国口腔健康事业发展,提高全民口腔健康水平。

转载:中国牙病防治基金会
审核:党政办公室

昆明医科大学附属口腔医院/云南省口腔医院
就诊咨询电话:0871- 65330099


本部咨询电话:0871-65378622
咨询时段:周一至周五9:00-11:00、14:30-16:30

👇五个分门诊就诊指南👇