

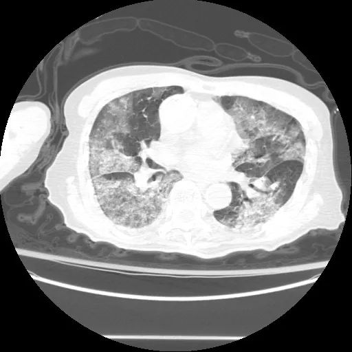
随着我国疫情防控政策变化和新一波新冠感染高峰的到来,“白肺”一词引起了大家的极大关注。感染新冠病毒以后,病毒主要攻击患者的上呼吸道,患者会出现咳嗽症状,如病毒通过上呼吸道进入下呼吸道,就会感染患者肺部,出现肺炎,严重者出现“白肺”,伴随着咳嗽症状。
很多患者非常担心自己和家人是不是也得了“白肺”?纷纷到各大医院进行CT检查,就我院来说,每个院区每天检查约三百人次,都能检查出很多“白肺”患者。

首先,我们要明白咳嗽和肺炎的区别,不是所有咳嗽的患者都得了肺炎,咳嗽仅仅是一种症状,感染新冠病毒以后,很多患者会出现咳嗽,这是人体的保护机制,通过咳嗽和咳痰将体内的分泌物排除。而一部分患者,病毒会通过上呼吸道进入下呼吸道,感染肺部,出现肺炎,严重者甚至出现“白肺”。



以下情况建议进行CT检查:


哪些患者不需要做CT?


胸部CT的意义在哪?


目前我院光华院区拥有佳能Aquilion one 320排640层螺旋CT机1台、GE Light Speed 64排128层螺旋CT机1台;滇池院区拥有飞利浦Ingenuity 64排螺旋CT机1台、明峰64排移动CT1台。放射科拥有一支技术过硬的医技护团队,近年来,每年平均对7万名患者进行CT检查,新冠病毒爆发后,对近1万名患者进行了诊断,具备了熟练的技术操作,丰富的诊断经验和为新冠患者的生命安全保驾护航的能力。






文/放射科:周嫒捷 杨燕

本文由昆明信息港机器人小明转载自"云南省中医医院"

