
云南省产前诊断曲靖分中心自2019年10月1日起,在完成6000例孕妇外周血胎儿游离DNA(T21、T18、T13)产前筛查的基础上,在医院领导的指导关心和各科室的支持下,分中心于2022年3月12日开展无创DNA(NIPT-plus)产前筛查,该项筛查包括21-三体、18-三体、13-三体等24种常染色体非整倍体、4种性染色体非整倍体、7种相对高发5Mb以上染色体缺失综合征、83种10Mb以上染色体大片段变异综合征进行检测。


截止到2022年6月30日已完成275例筛查,其中筛查出21三体高风险3例,13三体高风险2例,9号染色体染色体微重复1例,阳性检出率2.18%(6/275)。现已确诊21三体3例,13三体2例,22号染色体微缺失1例。21三体和13三体的诊断符合率为100%,该项筛查是滇东北地区首次本地检验项目,避免外送,便捷性、时效性、安全性更好。该项目的开展将有利于建立滇东北区域唐氏综合征、18三体综合征、13三体综合征、性染色体等染色体疾病的预防干预模式,大力减少出生缺陷发生率。

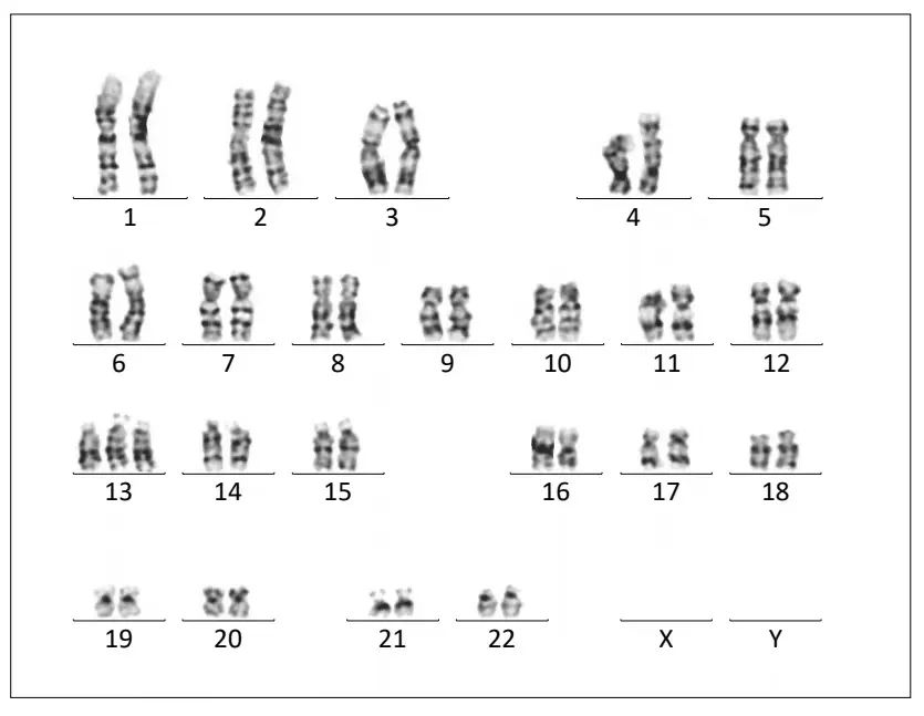
NIPT-plus提示:21三体综合征高风险

羊水细胞核:47,XN,+21

NIPT-plus提示:13三体综合征高风险

羊水细胞核:47,XN,+13
本项目的开展将有助于区域各级妇幼保健机构产前筛查能力的提升,进一步加强并完善妇幼保健系统的出生缺陷防控服务意识,对各级妇幼保健产前筛查机构有计划有步骤地开展出生缺陷防治工作做出一定指导。据国卫办妇幼发〔2016〕45号文件及其他文件要求:
一、目标疾病
根据目前技术发展水平,无创DNA(NIPT-plus)产前筛查目标疾病为21-三体、18-三体、13-三体等24种常染色体非整倍体、4种性染色体非整倍体、7种相对高发5Mb以上染色体缺失综合征、83种10Mb以上染色体大片段变异综合征。
二、适宜时间
孕妇外周血胎儿游离DNA检测适宜孕周为12+0~22+6周。
三、适用人群
(一)血清学筛查显示胎儿常见染色体非整倍体风险值介于高风险切割值与1/1000之间的孕妇。
(二)有介入性产前诊断禁忌证者(如先兆流产、发热、出血倾向、慢性病原体感染活动期、孕妇Rh阴性血型等)。
(三)孕20+6周以上,错过血清学筛查最佳时间,但要求评估21三体综合征、18三体综合征、13三体综合征风险者。
四、慎用人群
有下列情形的孕妇进行检测时,检测准确性有一定程度下降,检出效果尚不明确;或按有关规定应建议其进行产前诊断的情形。包括:
(一)早、中孕期产前筛查高风险。
(二)预产期年龄≥35岁。
(三)重度肥胖(体重指数>40)。
(四)通过体外受精—胚胎移植方式受孕。
(五)有染色体异常胎儿分娩史,但除外夫妇染色体异常的情形。
(六)双胎及多胎妊娠。
(七)医师认为可能影响结果准确性的其他情形。
五、不适用人群
有下列情形的孕妇进行检测时,可能严重影响结果准确性。包括:
(一)孕周<12+0周。
(二)夫妇一方有明确染色体异常。
(三)1年内接受过异体输血、移植手术、异体细胞治疗等。
(四)胎儿超声检查提示有结构异常须进行产前诊断。
(五)有基因遗传病家族史或提示胎儿罹患基因病高风险。
(六)孕期合并恶性肿瘤。
(七)医师认为有明显影响结果准确性的其他情形。
除外上述不适用情形的,孕妇或其家属在充分知情同意情况下,可选择无创DNA(NIPT-plus)产前筛查。

如您需要,请联系我们,医学遗传与产前诊断科:
寥廓院区门诊七楼,联系电话:0874-3362117
南苑新区三单元四楼,联系电话:0874-3362351/3362352
医学遗传与产前诊断科|供稿
宣传科|编辑



曲靖市妇幼保健院
位置:
云南省曲靖市麒麟区寥廓南路371号
曲靖市妇幼保健院
位置:
云南省曲靖市麒麟区寥廓南路371号
曲靖市妇幼保健院
位置:
云南省曲靖市麒麟区寥廓南路371号
曲靖市妇幼保健院
位置:
云南省曲靖市麒麟区寥廓南路371号
曲靖市妇幼保健院
位置:
云南省曲靖市麒麟区寥廓南路371号
曲靖市妇幼保健院
位置:
云南省曲靖市麒麟区寥廓南路371号
曲靖市妇幼保健院
位置:
云南省曲靖市麒麟区寥廓南路371号
曲靖市妇幼保健院
位置:
云南省曲靖市麒麟区寥廓南路371号
曲靖市妇幼保健院
位置:
云南省曲靖市麒麟区寥廓南路371号
曲靖市妇幼保健院
位置:
云南省曲靖市麒麟区寥廓南路371号
曲靖市妇幼保健院
位置:
云南省曲靖市麒麟区寥廓南路371号
曲靖市妇幼保健院
位置:
云南省曲靖市麒麟区寥廓南路371号
曲靖市妇幼保健院
位置:
云南省曲靖市麒麟区寥廓南路371号
曲靖市妇幼保健院
位置:
云南省曲靖市麒麟区寥廓南路371号
曲靖市妇幼保健院
位置:
云南省曲靖市麒麟区寥廓南路371号
曲靖市妇幼保健院
位置:
云南省曲靖市麒麟区寥廓南路371号


曲靖市妇幼保健院(南苑院区)
位置:
云南省曲靖市麒麟区珠江源大道曲靖汽车客运南站西550米
曲靖市妇幼保健院(南苑院区)
位置:
云南省曲靖市麒麟区珠江源大道曲靖汽车客运南站西550米
曲靖市妇幼保健院(南苑院区)
位置:
云南省曲靖市麒麟区珠江源大道曲靖汽车客运南站西550米
曲靖市妇幼保健院(南苑院区)
位置:
云南省曲靖市麒麟区珠江源大道曲靖汽车客运南站西550米
曲靖市妇幼保健院(南苑院区)
位置:
云南省曲靖市麒麟区珠江源大道曲靖汽车客运南站西550米
曲靖市妇幼保健院(南苑院区)
位置:
云南省曲靖市麒麟区珠江源大道曲靖汽车客运南站西550米
曲靖市妇幼保健院(南苑院区)
位置:
云南省曲靖市麒麟区珠江源大道曲靖汽车客运南站西550米
曲靖市妇幼保健院(南苑院区)
位置:
云南省曲靖市麒麟区珠江源大道曲靖汽车客运南站西550米
曲靖市妇幼保健院(南苑院区)
位置:
云南省曲靖市麒麟区珠江源大道曲靖汽车客运南站西550米
曲靖市妇幼保健院(南苑院区)
位置:
云南省曲靖市麒麟区珠江源大道曲靖汽车客运南站西550米
曲靖市妇幼保健院(南苑院区)
位置:
云南省曲靖市麒麟区珠江源大道曲靖汽车客运南站西550米
曲靖市妇幼保健院(南苑院区)
位置:
云南省曲靖市麒麟区珠江源大道曲靖汽车客运南站西550米
曲靖市妇幼保健院(南苑院区)
位置:
云南省曲靖市麒麟区珠江源大道曲靖汽车客运南站西550米
曲靖市妇幼保健院(南苑院区)
位置:
云南省曲靖市麒麟区珠江源大道曲靖汽车客运南站西550米
曲靖市妇幼保健院(南苑院区)
位置:
云南省曲靖市麒麟区珠江源大道曲靖汽车客运南站西550米
曲靖市妇幼保健院(南苑院区)
位置:
云南省曲靖市麒麟区珠江源大道曲靖汽车客运南站西550米


