
俗话说,病从口入
而一些不良的饮食习惯
也会让“虫病”进脑

???
你不信?那么
就让普洱市中心医院
神经内科医生闫自坤
为大家科普一下吧!

近日
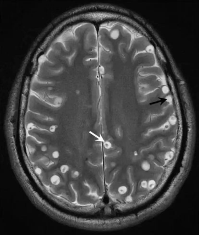
鲁先生因左下肢抽搐1周
到普洱市中心医院
影像学检查显示如下:
↓↓

上图是不是没看懂?
简单来说
就是鲁先生诊断为脑囊虫病
诊断明确后给予驱虫治疗
幸运的是,经治疗后鲁先生
未再出现抽搐,症状好转

看到这里
你是不是急切地想知道
鲁先生是怎么患上
“脑囊虫病”的?
我们继续!
↓↓
脑囊虫病简介

脑囊虫病是由寄生虫(猪绦虫为主)所传染的一种顽固性颅脑内疾病。该病约占囊虫病的80%以上。是由于食用了猪肉绦虫虫卵,发育成囊尾蚴,经消化道穿出肠壁进入肠系膜小静脉,再经体循环而到达脑膜、脑实质以及脑室内。

医生提醒

一旦发现患上囊虫病应尽早前往医院积极药物治疗方可改善预后。如不重视,一些患上脑囊虫病的严重患者还需开颅手术治疗,切除较大的虫体。研究发现,猪囊尾蚴在人体组织内可存活3至10年之久。一般情况下,潜伏期多在1个月到5年内,最长可达30年。所以,尽早治疗很关键。


♦来源丨普洱市中心医院(思茅区人民医院)神经内科
♦作者丨闫自坤/文 蜕/漫画绘制
♦主办丨普洱市中心医院(思茅区人民医院)
♦协办丨普洱日报社
♦编辑丨宝政艳、马雨果
♦审核丨邓志勇、李毓珊

本文由昆明信息港机器人小明转载自"思茅区人民医院"