

宝宝多大会发生蛀牙?
很多家长以为宝宝牙长齐了才会长蛀牙。
实际上,宝宝的牙齿一萌出到口腔,就可能会发生蛀牙。
蛀牙指的就是龋齿。
宝宝的牙齿一萌出到口腔,牙面上就会开始有细菌的定植,当牙齿得不到及时有效的清理,牙面上的这些细菌就会利用残留的食物能源,尤其是糖类物质,不断繁衍和生长,从而破坏宝宝新生的乳牙。
新生乳牙本就不如成人的牙齿坚硬,所以,这样的状态很快就会使宝宝的新生乳牙形成蛀牙。
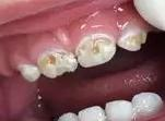
图为11个月龄的宝宝的牙齿

婴幼儿龋病未得到有效控制时多发展迅速,会很快波及多个牙齿,龋齿短期内发生牙髓炎、根尖周炎,成为残根残冠。
而且婴幼儿出现龋坏的年龄越小,龋病快速进展的风险可能越大。
图中宝宝12月发现前门牙较浅龋,经过2个多月时间发展成为较深龋齿,可见进展速度之快。

但如果,家长能够早期发现宝宝的龋坏,通过相对简单、无痛的管理而停止进展,进入到稳定的静止状态,及时进行管理改善口腔致龋环境,宝宝的牙齿病变可以缓解和控制。
所以家长学会尽早识别和重视宝宝牙齿问题,非常重要!
想要及早发现宝宝牙齿的变化,就要了解婴幼儿龋病的早期表现。

婴幼儿龋病的早期表现

婴幼儿龋病在早期没有明显牙齿形态上的缺损。
通常表现为一定程度的矿物溶解,仔细观察可以看到乳牙面粗糙、呈白垩状色泽改变,有的牙齿表面呈褐色的改变,比如小黑点。
同样这些情况发生在牙齿邻面时,隐蔽性更强,更难被发现。


婴幼儿龋病的危害


上图为我院2020级本科生李滢熠制作,未经许可请勿转载

引起炎症和感染
婴幼儿龋病发展到根尖周炎易引起周围组织炎症,也会影响继承恒牙的发育。
龋坏严重可以造成牙齿内部和周围组织的炎症和感染,继而也会影响继承恒牙的发育,严重者可以引发其他部位或系统的感染。

影响宝宝的咀嚼功能
牙齿严重破坏影响婴幼儿进食咀嚼功能,从而影响食物的消化吸收,影响生长发育。

影响颜面部美观和发音
前牙多颗牙齿缺损影响宝宝的颜面部美观,会影响发音,严重者干扰正常咬合关系,造成错合畸形,影响颜面部正常生长发育。

基金会介绍:中国牙病防治基金会是中国口腔医学领域唯一经国家民政部批准设立,国家卫生健康委员会业务主管的国家级公募基金会。以打造口腔健康公益平台为目标,面向基层、面向大众,重点开展公益慈善、健康科普和能力提升业务,致力于推动我国口腔健康事业发展,提高全民口腔健康水平。

转载:中国牙病防治基金会
审核:党政办公室

昆明医科大学附属口腔医院/云南省口腔医院
就诊咨询电话:0871- 65330099


本部咨询电话:0871-65378622
咨询时段:周一至周五9:00-11:00、14:30-16:30

👇五个分门诊就诊指南👇










