本公众号由云南省中医药管理局主办,如果您还未关注,请点击上方蓝色“云南中医”进行关注。

▶本文为《防治风湿 护卫健康》专栏第4期内容,感谢您的支持与分享!
上周一上午八点,云南省中医医院滇池院区风湿病科早交班刚结束,轮转规培医生小张同学疑惑地问带教老师刘维超:“刘老师,急性胰腺炎怎么会住在风湿科,是不是搞错了?”
但刘维超老师认真肯定地回答道:“没错,这个患者就应该住风湿科。”
然后,刘维超老师给规培同学们详细介绍了这位患者的基本情况。

▶ 病史:
患者李XX,男,42岁,因“颜面红斑3年,腹痛半月,加重1天。”入院。患者诉3年前无明显诱因出现颜面红斑,分布于额头、鼻根、颧部,在当地医院皮肤科就诊,予中药治疗,红斑无改善,也未进一步治疗,半月前因进食高蛋白食物后出现腹痛,到当地医院就诊,诊断“急性胰腺炎”。
予抑酸护胃、抑制胰腺分泌、抗感染、营养等对症支持治疗,因住院期间发现胸腹腔积液、抗核抗体异常,建议转风湿免疫科诊治,但患者出院后在家未诊治,1天前腹痛加重,并出现胸闷、黑矇、恶心、呕吐、发热到我科就诊,为求中西医诊治收住院。
▶ 入院症见:
颜面部红斑,以额部、鼻根、双颧明显,高出皮肤,无脱屑、瘙痒,腹痛,以左上腹、右上腹、脐周、剑突下为主,身热,双手指、双腕、双肘、双肩关节肿痛,双上臂、双大腿、双小腿肌肉酸痛,活动受限,翻身困难,伴胸闷、恶心,精神极差,眠欠佳。
▶ 入院查体:
T38.3℃ P105次/分R20次/分 BP90/60mmHg,一般情况极差,神志清楚,查体尚合作,能对答,瞳孔等大等圆,对光反射存在。双肺呼吸音粗,未闻及干湿性啰音;心率105次/分,节律整齐,腹部肌肉稍紧张,左上腹、剑突下、右上腹、脐周压痛,莫菲氏征(-),麦氏点无压痛、反跳痛,肠鸣音活跃,双肾区轻叩痛,双下肢无水肿。
▶ 专科情况:
颜面部红斑,以额部、鼻根、双颧明显,高出皮肤,无脱屑、瘙痒;双手指、双腕、双肘肿胀压痛明显;双上肢近端、远端肌肉、双大腿、双小腿肌肉压痛;颈屈肌3+,双侧肱二头肌、腕屈肌、肌四头肌3+。
▶ 辅助检查
【淋巴细胞亚群(T/B】:CD3+CD4+/LY 16(%),CD3+CD8+/LY 42(%),CD4+/CD8+ 0.38(%)。
【血细胞分析】:白细胞 1.80(10^9/L),中性细胞数 1.26(10^9/L),血小板 95(10^9/L)。。
【血生化】:总蛋白 47.7(g/L),白蛋白 21.9(g/L),葡萄糖 26.79(mmol/L),补体C3 0.18(g/L),补体C4 0.02(g/L),补体CH50 16.0(U/ml),免疫球蛋白M 2.65(g/L),免疫球蛋白E 428(IU/mL),C-反应蛋白4.91(mg/L),钠127(mmol/L),钙1.75(mmol/L),血脂、肝酶、肌酶均正常,尿淀粉酶769U/L(<640);血淀粉酶88U/L(35-135)、脂肪酶28.5。
【ANAS】:抗核抗体初筛(+),抗核抗体核型 核颗粒型+核均质型,抗核抗体滴度1:320,抗U1-nRNP抗体 (+++),抗Sm (+),抗dsDNA抗体 (+),抗核小体抗体(++),抗组蛋白抗体(±)。
2022-01-10 【RF分型】:类风湿因子IgA 43.21(U/ml),类风湿因子IgG 24.6(AU/ml),类风湿因子IgM 23.8(AU/ml)。
【CCP、AKA、ANCA、ACL、自免肝、甲乙丙肝、梅毒、HIV】(-),24小时尿蛋白定量2862mg/24h。
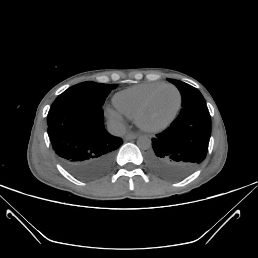
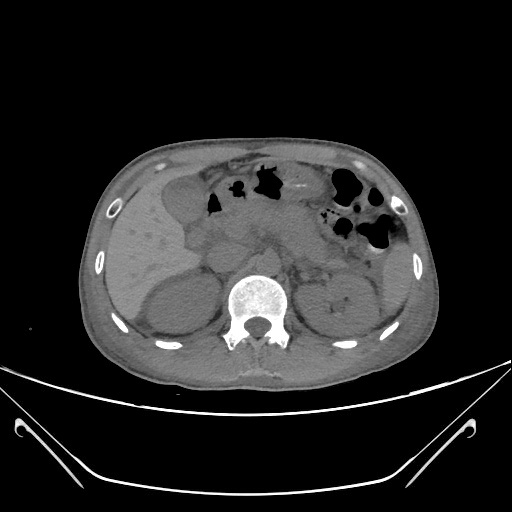
【全腹CT平扫】:急性胰腺炎:胰腺肿胀,胰周渗出、少许积液,局部肠系膜浑浊,双侧肾周筋膜增厚,双侧结肠旁沟及盆腔少许积液。


▶ 分析:
患者存在颜面红斑、关节炎、血液系统受累、多浆膜腔积液、抗核抗体阳性、抗dsDNA抗体阳性,24小时尿蛋白大于0.5g/24H,符合美国风湿病学会(ACR)1997年制定的系统性红斑狼疮(SLE)诊断标准,患者系统性红斑狼疮诊断明确,而急性胰腺炎与系统性红斑狼疮活动相关,所以该患者应该住风湿科。
▶ 治疗
1.西医治疗。患者SLEDAI评分20分,属于病情高度活动,病情危重,给予胃肠减压、禁食抑酸、抗感染、抑制胰酶分泌、纠正休克等对症支持治疗,予甲泼尼龙琥珀酸钠120mg/d(2mg/kg.d),加用静注免疫球蛋白20g*3d重整免疫;3天后加用CTX0.2g,隔日一次,人血白蛋白补充蛋白,低分肝素钠抗凝等。
2.中医治疗。禁食不禁药,先后辨证予清胰汤、柴平汤、柴勺六君汤等方剂加减内服,灌肠方保留灌肠,2天后患者腹痛症状即消失。
在风湿科、外科、消化科、心内科、急诊科等多学科的努力下,经过10余天的中西医结合治疗,患者病情好转出院,追踪观察5月,患者除一次自行停服激素后出现高热外,病情一直平稳,激素逐渐减量至10mg/日,这也提示我们系统性红斑狼疮患者不可自行随意调整用药。
【知识扩展】
系统性红斑狼疮(systemic lupus erythematosus,SLE)是一种自身免疫性疾病,可以累及全身多器官系统。SLE合并急性胰腺炎( acute pancreatitis,AP)相对少见,胰腺炎通常发生在SLE疾病活动而导致的全面发作期,也可能作为首发的临床表现而需要急诊处理,狼疮性胰腺炎发生率约3%~8%,往往与病情活动相关,且病死率高。
狼疮性胰腺炎的发病机制尚不清楚,目前有以下观点:
1.胰腺组织的血管炎。由于系统性红斑狼疮是一种全身多系统损害症状的慢性系统性自身免疫病,有可能会并发胰腺组织的血管炎;
2.抗磷脂综合征相关的血管病变及微血栓形成;
3.抗胰腺自身抗体的损害;
4.EB和CMV等病毒感染以及药物等相关。
除了急性胰腺炎,SLE的胃肠道损害还包括食管及胃受累、狼疮性腹膜炎、狼疮性肠系膜血管炎、假性肠梗阻、蛋白丢失性肠病等。相对于肾、心、肺等其他受累的系统,胃肠道受累并不常见,临床医师对SLE的胃肠道损害往往认识不足,常常会忽略或者遗漏SLE的胃肠道损害,使SLE胃肠道损害的诊断变得更为复杂。 因此,在临床遇到出现胃肠道症状患者并有相应风湿病症状时,应警惕SLE所致胃肠道损害。
本文作者:粟荣
粟荣,硕士研究生,云南省中医医院风湿病科主治医师。2013年毕业于云南中医学院(现云南中医药大学),同年8月就职于云南省中医医院。2014年主持课题“附子桂枝汤治疗寒湿痹阻型系统性硬化的临床研究”,2018年主持课题“肾茶饮对无症状高尿酸血症肠道菌群及饮食结构的影响”一项。
擅长:类风湿关节炎、痛风性关节炎、骨关节炎、干燥综合征、硬皮病、皮肌炎、强直性脊柱炎等风湿性疾病的诊治。

风湿病中心现有病床100张,设有类风湿关节炎、结缔组织病、脊柱与骨关节病3个亚专科。专业团队共50余人,有博士生导师3人、硕士生导师8人;有全国名中医、云南省国医名师1人、云岭名医1人,云南省“万人计划”名医2人、云南省名中医2人,云南省中医领军人才2人,云南省中医药学科学术带头人2人,云南省中医药后备人才3人,云南省青年名中医2人,技术力量雄厚。近年来,先后承担各级科研课题50余项(省部级以上科研课题27项),其中国家公益基金行业专项1项、国家自然基金10项,参与国家重点研发计划中医药现代化研究重点专项3项;获国家发明专利3项;出版著作教材22部,发表学术论文500余篇;获云南省科技进步一等奖1项,中华中医药学会科学技术奖二等奖1项,云南省科技进步三等奖2项,云南省卫生科技成果奖7项。
风湿病中心建立有风湿免疫实验室、关节超声室、免疫吸附室和专科治疗室;研制有蠲痹颗粒、痛风消颗粒剂、痛风清洗剂、尿酸清颗粒、痛风贴、痛风消气雾剂、寒痹散、热痹散等10余种专科制剂;开展了微创针刀镜、水筋针、经筋针、中药热敷、熏蒸、熏洗、药物离子透入、药罐、针灸、针刀、穴位敷贴、督灸、蜡疗等特色疗法;形成了辨病与辨证相结合、内治与外治相结合,医疗与康复相结合、养生与健教相结合的诊疗模式;擅长以中医为主,中西医结合诊治类风湿关节炎、骨关节炎、痛风、强直性脊柱炎、系统性红斑狼疮、干燥综合征、硬皮病、骨质疏松症、多发性肌炎/皮肌炎、银屑病关节炎、白塞病、血管炎等疑难风湿病。

