

近日微博一条#戴牙套到底有哪些作用#的话题一度冲上热搜榜,引起广泛热议,话题内热门视频列举了戴牙套的两大好处,一个是众所周知的——让牙齿更整齐,还有一个是——改变脸型。

临床上,牙套根据功能也有不同类型和作用,我们日常所说的戴牙套,主要指为了矫正牙齿佩戴的牙套,包括传统的金属牙套以及新兴的隐形牙套。
牙齿矫正让牙齿更整齐这一点是毋庸置疑的,至于改变脸型,牙齿矫正通过移动牙齿、改变牙齿位置,对嘴唇前后位置、唇齿关系,以及附近牙槽骨的改建,都有一定帮助。
可以说,牙齿矫正不仅能够改变牙齿不齐的问题,还兼具美学意义,但是我们不能盲目夸大后者功效。
牙齿移动是一生都会存在的骨改建过程,对于“成年人牙齿矫正后会加速牙齿松动甚至脱落”的说法,是不正确的。牙齿矫正老少皆宜,不过青少年骨改建能力比较强,矫治效果更好,而成年人完成牙齿矫正则需要更长的时间。
现如今人们生活水平提高,对于生活质量的要求也在同步增长,出于功能和美观的考虑,越来越多的人进行牙齿矫正。
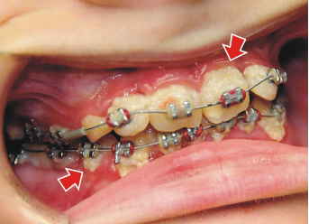
不过牙齿矫正好处虽多,戴牙套对口腔清洁也提出了更大的考验。
因为托槽、弓丝等的存在,会破坏牙齿本身光滑的外形,导致牙菌斑更容易堆积。

菌斑长期堆积可导致牙面的脱矿、龋坏以及牙周病,关于牙周病的危害,我们之前就曾在《揭秘牙齿杀手背后的秘密,九成缺牙都离不开的口腔问题,你值得了解!》文中详细介绍过,这里不再赘述。

所以在牙齿矫正过程中每天刷干净牙齿非常重要!

矫正过程中如何把牙齿清洁干净?
这里给大家提供四大法宝:
牙刷
牙缝刷
牙线
冲牙器
牙刷
选用正畸专用牙刷,比如V型、U型牙刷,这种专业牙刷中间有凹陷,更贴合托槽。

牙齿矫正也有一套属于自己的科学刷牙方法。
由于牙齿粘有托槽的一面被托槽和弓丝分为上下两个部分,所以应分2个步骤刷牙:
先将牙刷45°朝向牙龈方向,清洁牙齿上半部分,包括托槽的上表面及牙龈边缘;
再将牙刷刷头45°朝向咬合面方向,清洁牙齿下半部分和托槽下表面。
牙缝刷
配合牙刷,你还需要一支合适的牙缝刷。
牙缝刷可以进一步清理弓丝与牙面间,以及托槽上下左右处堆积的食物残渣及牙菌斑。
特别需要注意的是,残渣细菌特别容易聚集在矫治器周围,所以这里要仔细刷干净。

牙线
牙线是清洁牙齿与牙齿之间最好的方法。
使用牙线清洁弓丝下方、牙齿邻接处等牙刷无法清洁到的部位,所以不要以为带了牙套就不能用牙线了。

带了牙套就不会用牙线了?
牙线牵引器辅助穿牙线了解一下——

冲牙器
除了刷牙以外,还应配合冲牙器进一步清洁牙刷难以清洁的部分,注意,冲牙器不能代替刷牙和牙线哦~

除了四大法宝,牙齿矫正的朋友,还要注意刷牙时间和次数,最后给大家提供一份小贴士,祝愿大家都能拥有一口美丽整齐又健康的大白牙!

小贴士:
刷牙力度不宜过大。
每天三餐之后都要刷牙,如果晚餐后又吃了宵夜,晚上睡前还要刷牙。
矫正牙齿过程中刷牙时间应该更长。
刷牙后自检。
使用含氟牙膏。
佩戴牙套期间最好使用含氟漱口水漱口,每天1~2次,每次含漱1分钟再吐掉。

基金会介绍:中国牙病防治基金会是中国口腔医学领域唯一经国家民政部批准设立,国家卫生健康委员会业务主管的国家级公募基金会。以打造口腔健康公益平台为目标,面向基层、面向大众,重点开展公益慈善、健康科普和能力提升业务,致力于推动我国口腔健康事业发展,提高全民口腔健康水平。

转载:中国牙病防治基金会
审核:党政办公室

昆明医科大学附属口腔医院/云南省口腔医院
就诊咨询电话:0871- 65330099


本部预约电话:0871-65378622
请在周一至周五9:00-11:00、14:30-16:30时段致电预约
可预约周一至周五的部分专家门诊
周末及节假日门诊号暂不预约

👇五个分门诊就诊指南👇







