

每年的5月15日是世界正畸健康日。今年健康日主题是“容貌连接你我,微笑改变人生”,在大众的认知里,相对于口腔疾病的基础治疗,正畸治疗好像更偏美学修复治疗,其实不然,牙齿矫治不单单只是强调美,更利于口腔健康的维护。
为什么说正畸治疗有利于口腔健康,我们一起来看看我院前兴路门诊部正畸医生任娅岚接诊患者黄女士的矫正故事吧。
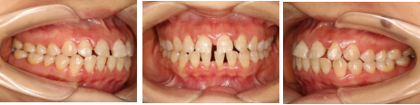
黄女士,年龄32岁,因牙周病导致上下前牙病理性移位,上下前牙间隙越来越大,牙齿特别敏感,牙龈经常出血。下图为黄女士治疗前的口内情况。

更让她感到焦虑的是下前牙越来越松动,她开始担心自己是否会中年失牙。到院治疗后,我院牙周医生为其做了精细的牙周治疗,根据正畸医生任娅岚的建议,黄女士开始接受隐形矫治,关闭上下前牙间隙,充分应用隐形矫治便于清洁,有利于牙周健康的优势,顺利完成正畸治疗,去除创伤,牙周也恢复了健康。
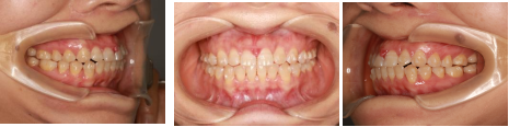
治疗中↓↓↓


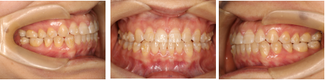
治疗后↑↑↑

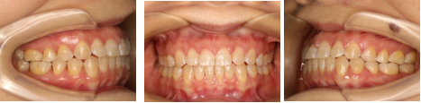
保持一年后↑↑↑
每年的世界正畸健康日,我院都会组织各类义诊宣教活动,其目的就是唤起大众对正畸治疗的认识,传递正畸治疗有利于口腔健康的理念。

下面,让我们一起来了解隐形矫正技术吧!
随着正畸技术的发展,越来越受到患者欢迎的隐形矫正技术,因佩戴舒适度高、不影响美观而受到青睐。
隐形矫治没有固定矫治过程中的弓丝和托槽,但又继承了传统矫治的经典理论,辅助计算机三维诊断、个性化设计及数字化成型技术,成为精准数字化正畸治疗的首选。

隐形矫治主要有以下优点:
①美观、佩戴舒适易保持口腔卫生
②生物安全性
③临床操作简便,减少椅旁工作时间
④矫治可预测,过程可模拟
⑤矫治器不影响患者的饮食,减少了对食物的限制和牙齿脱矿的危险,降低了龋齿、牙龈炎和牙周炎的发生。
⑥不损伤患者口内现有的修复体,尤其是烤瓷牙,所以适合于口内已有多个烤瓷、金合金或者其他修复体的患者。
⑦可进行其它辅助治疗(如牙齿美白等)。

当然,隐形矫正目前的费用较传统弓丝矫治更高,同时要求患者严格按医嘱佩戴矫治器,否则会影响矫正效果或延长矫正时间。口腔正畸属于医学,正畸医生也在此提醒患者,根据口腔健康状况和经济实际来选择符合自己需求的正畸矫治方案,以健康为第一前提,选择权威专业的口腔诊疗机构,树立健康矫治理念,不可过度追求美而忽视了口腔健康!

供稿:前兴路门诊部
审核:党政办公室

昆明医科大学附属口腔医院/云南省口腔医院
就诊咨询电话:0871- 65330099


本部预约电话:0871-65378622
请在周一至周五9:00-11:00、14:30-16:30时段致电预约
可预约周一至周五的部分专家门诊
周末及节假日门诊号暂不预约

👇五个分门诊就诊指南👇







