


叮铃铃,叮铃铃,叮铃铃!
“你好,呼吸科重症病房。”,
“速来急诊科抢救室急会诊!”,
这是一通仅有10多秒的通话,几分钟后,呼吸科医生已到达急诊科抢救室。大理州人民医院呼吸与危重症医学科的值班电话,就像是集结的“冲锋号”。


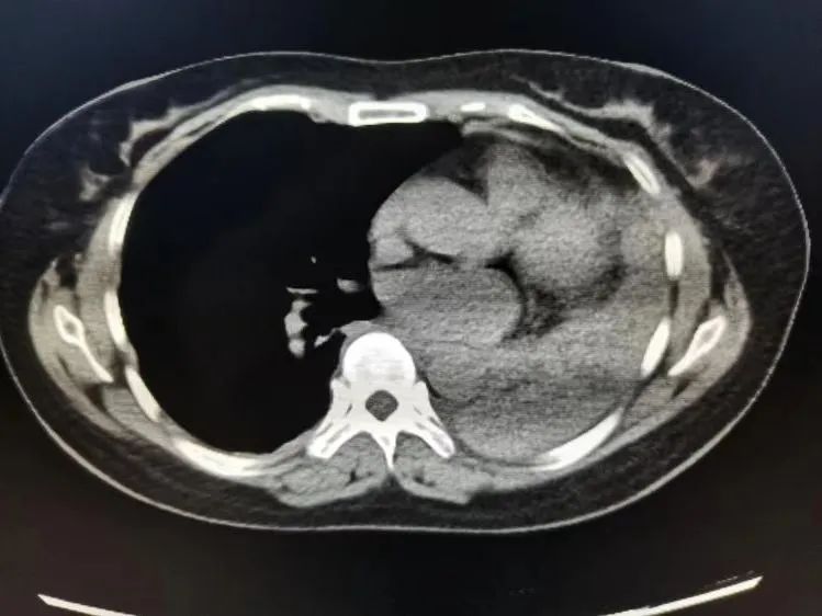
患者为女性,54岁,2021年2月4日晚上开始出现胸痛、呼吸困难,伴发热,3天后急诊入院。其左主支气管完全堵塞、左肺不张,病情进展快,有胸痛、发热、呼吸困难等症状,结合病情、体征及相关实验室检查,考虑气道异物可能性大,阻塞性肺炎。

同时,在支气管镜检查及新生物钳取过程中发现此物质软、表面光滑,钳取时易滑、易碎,且患者虽有经鼻高流量100%氧浓度的支持,仍缺氧明显,不能耐受,经反复尝试仅取出少量标本,送检后病理回报为异物。经讨论后决定行气管插管全麻下保证通气及氧饱和度的前提下给患者行气道异物取出术。


从麻醉、插管、镇痛镇静到异物取出、气道完全通畅历时3.5小时,在科室重症团队及呼吸介入团队的通力配合下成功取出异物,术后顺利脱机拔管,病人痊愈出院。这是科室首例独立完成的气管插管全麻条件下完成的呼吸介入治疗。


2021年12月1日由外院急诊科转入到科室一位患者,女性,62岁,香格里拉维西傈僳族自治县人;咳嗽、咳痰1周,张口困难3天。患者病因不明,发病少见,入院后完善相关检查仍诊断不明,给积极完善脑电图、脑脊液等相关检查的同时,组织院内多学科(神经内科、感染科及ICU)会诊。
12月9日患者相关检查回报,结合病情考虑为自身免疫性小脑炎,副肿瘤性疾病。期间共行血浆置换5次,共置换血浆10000ml,之后以大剂量激素冲击抑制免疫、免疫球蛋白调节免疫等一线治疗,但患者症状缓解不明显,全身肌肉肌张力高、牙关紧闭,脱机拔管困难,12月20日在耳鼻喉科协助下行气管切开术。12月29日在维持一线药物治疗的基础上行环磷酰胺(二线治疗)冲击治疗。

12月30日开始患者全身肌肉痉挛缓解,肌张力逐渐降低,能张口,2022年1月5日成功脱机,1月10日予以拔管,经过后续积极的康复治疗后于1月22日患者病情好转出院。


大理州人民医院呼吸内科成立于2000年,2019年正式更名为呼吸与危重症医学科。科室设置两个普通病区及独立的呼吸重症监护室(RICU),此外还有支气管镜室、肺功能室、睡眠病房。呼吸危重症专业组、肺部感染专业组、睡眠呼吸疾病和烟草病学等8个亚专科覆盖了呼吸内科专业的主要范围,8名亚专科带头人形成的呼吸内科技术团队在我省滇西呼吸内科领域发挥了学科带头人作用。

2013年获云南省临床重点专科建设项目,开设两个病区,将病房规模扩大到78张,同时建立RICU 9张病床,共87张;为了满足临床需求,2017年两个病区分别再增设7个床位,现在共有编制床位101张。

科室拥有有创呼吸机4台、无创呼吸机32台、心电监护仪29台、电子支气管镜6条、经鼻高流量4台、氩气刀1台、冷冻仪1台、床旁X线摄影仪1台、心电图机1台和物理振动排痰仪1台等相关医疗设备共计138台(套)。

科室收治病种较多,基本涵盖了呼吸系统的所有疾病:慢性阻塞性肺疾病、肺结核、肺寄生虫病、呼吸衰竭、放射性肺炎、纤维素性支气管炎、肺奴卡菌病等。吸引了省内外众多患者前来就医。RICU 承担了滇西区域呼吸系统危重疑难病人的抢救治疗,2020年科室专科门诊量8731人次,共收治病人3740人,其中,省外患者132人,辐射到四川、西藏等省份。


呼吸与危重症医学科自独立建科以来,从一个只有几名医务人员的小科室不断发展壮大成为现在拥有三个病区的大科室,在业务方面也有了巨大发展。
从曾经只有普通病区发展成为有自己独立的ICU病房,在危重症救治方面,如有创机械通气、无创机械通气、床旁CRRT、呼吸治疗等,现在已经发展成熟,承担着大理地区呼吸危重症患者的抢救和诊治。
近年来,肺功能及睡眠监测技术取得了突破式发展,为呼吸系统慢性疾病的筛查、干预和治疗提供了可靠保障。

呼吸与危重症医学科是一个集医疗、科研、教学为一体的临床科室。经过不断发展,RICU已成为科室的一大亮点学科,呼吸危重症救治技术如创机械通气、床旁CRRT、呼吸治疗、肺康复等在大理乃至滇西地区呼吸学科领域处于领先水平。目前成熟开展了肺功能检测、睡眠监测、支气管镜检查等技术,并率先技术先在滇西开展了PCCM肺功能单休基地的建设。
呼吸与危重症医学科2019年1月成为云南省呼吸系统疾病临床医学分中心建设单位,同年9月成为国家PCCM科规范化建设三级医院达标单位,2020年9月挂牌为中国肺癌防治联盟云南省大理州人民医院肺结节诊治分中心。2020年2月,呼吸与危重症医学科派出6名医护骨干驰援武汉。


冬春季节是呼吸疾病的高发期,科室里的病床无一空闲,且常常有危重症病人,疫情反复,呼吸科医生的工作量和工作时长仍在不断增加,但面对病人,他们依然责无旁贷!
记者:禹俊勋 金镇雄
编辑:禹俊勋
责编:张银珍



